0722 293 622

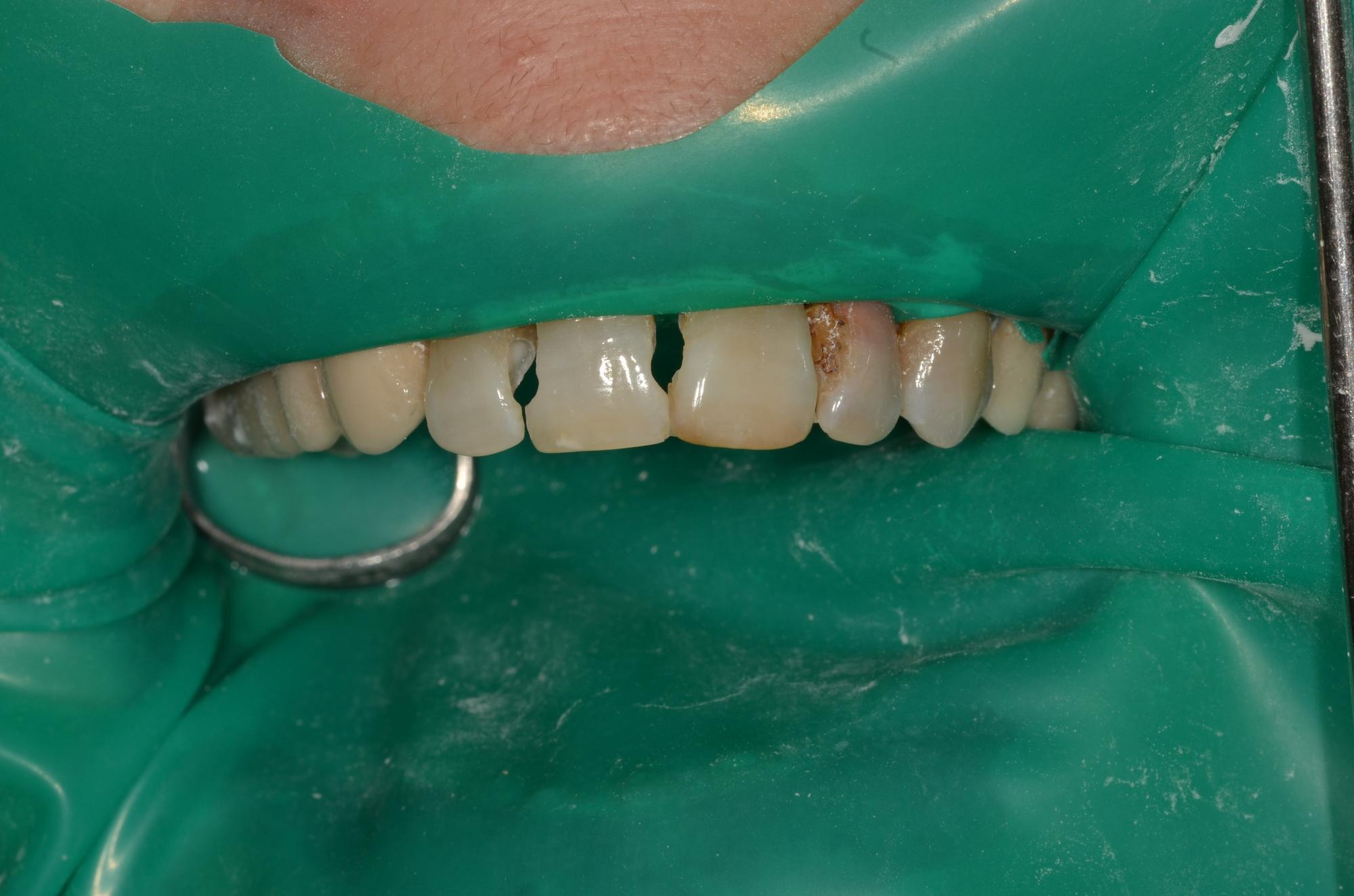
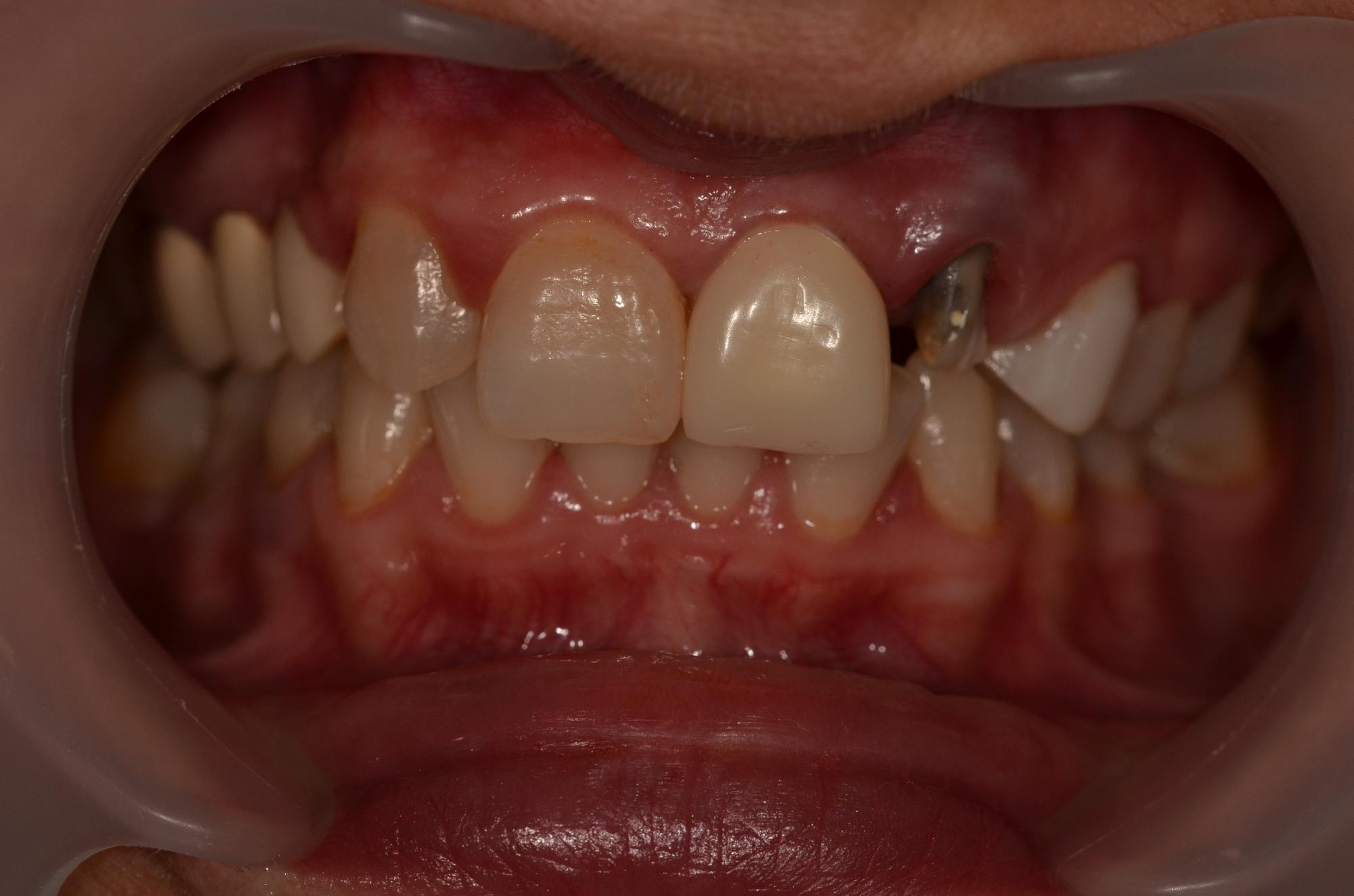
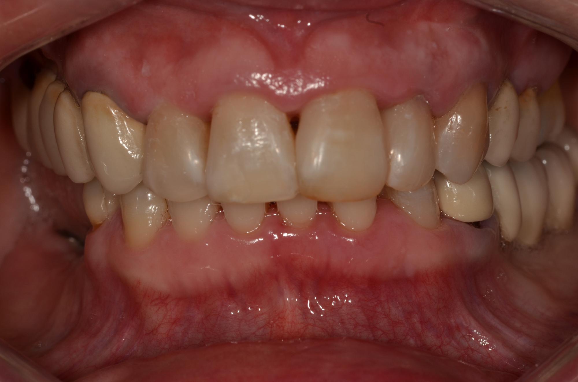
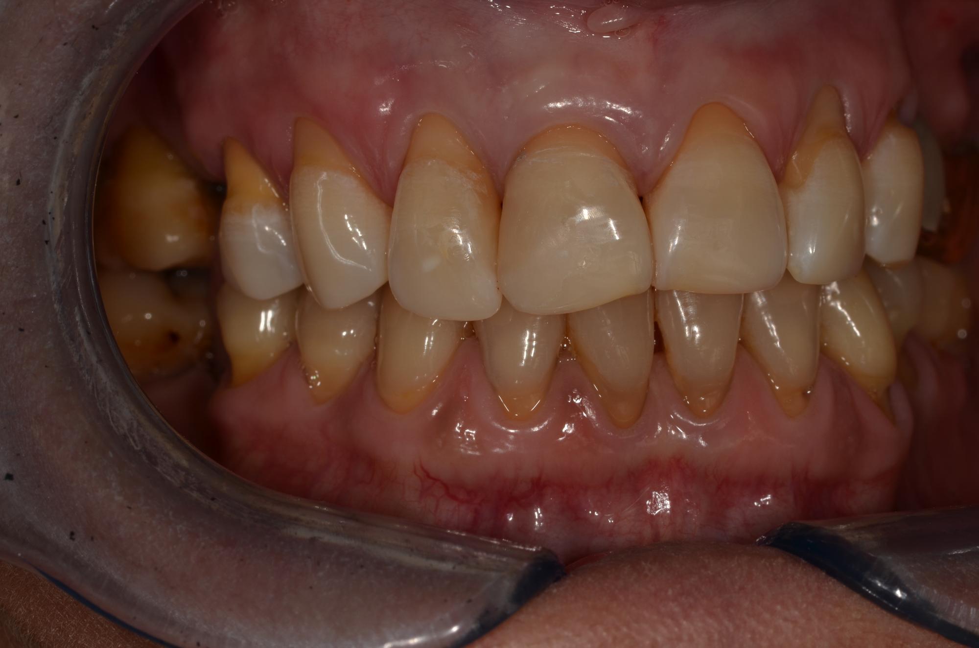
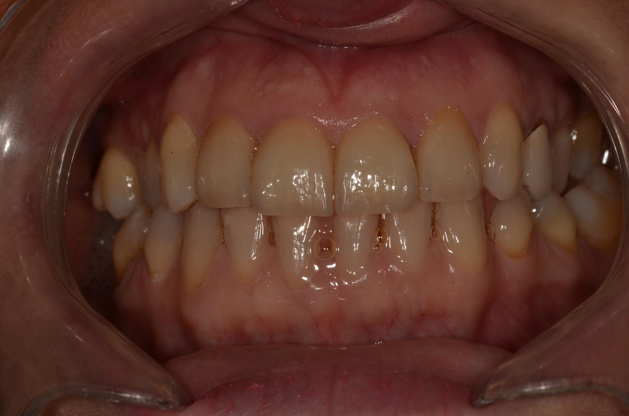
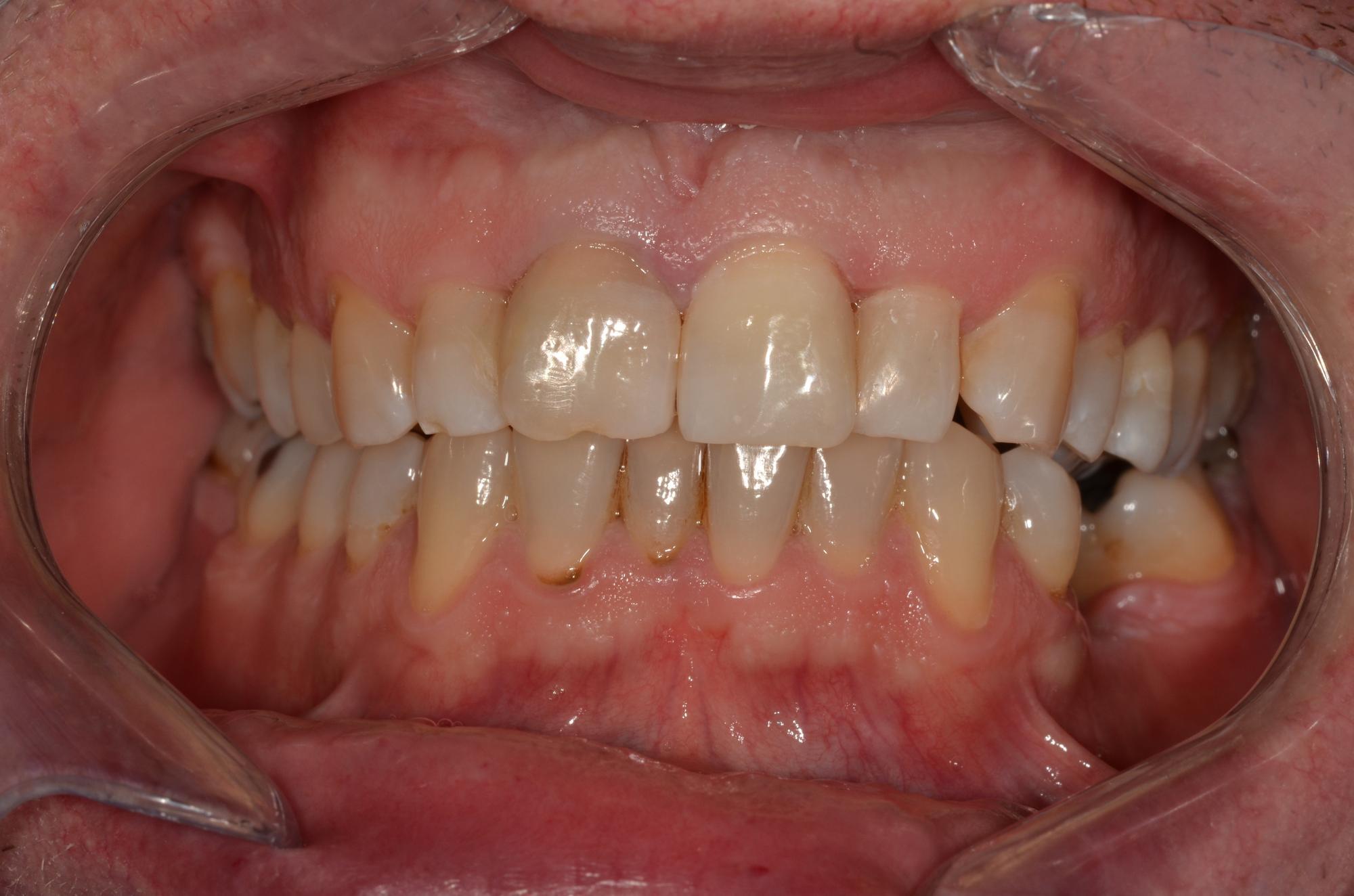
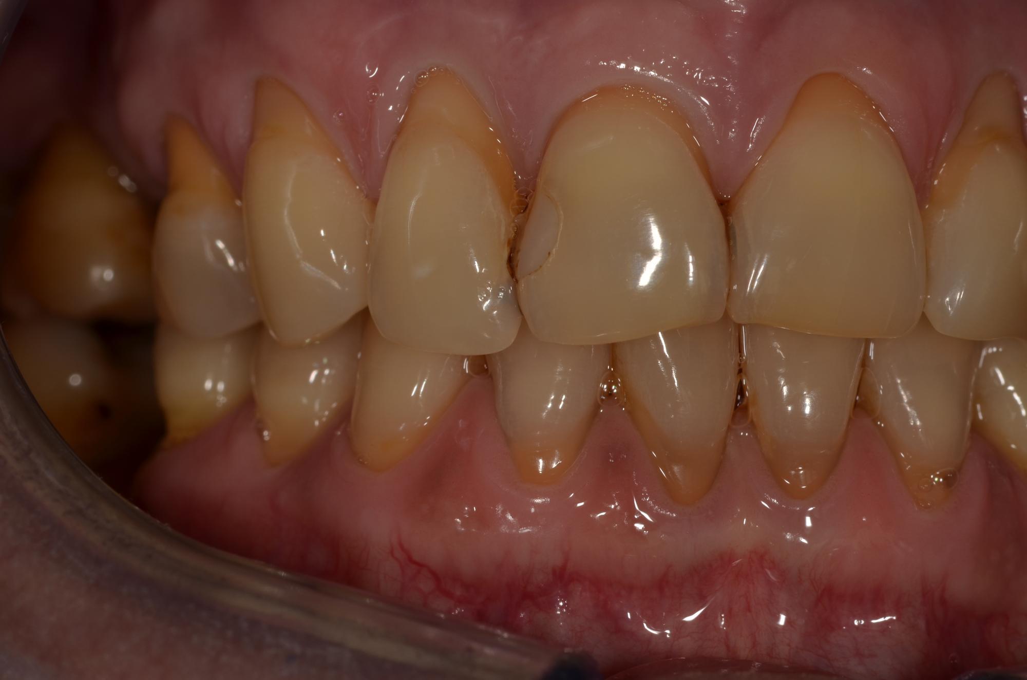
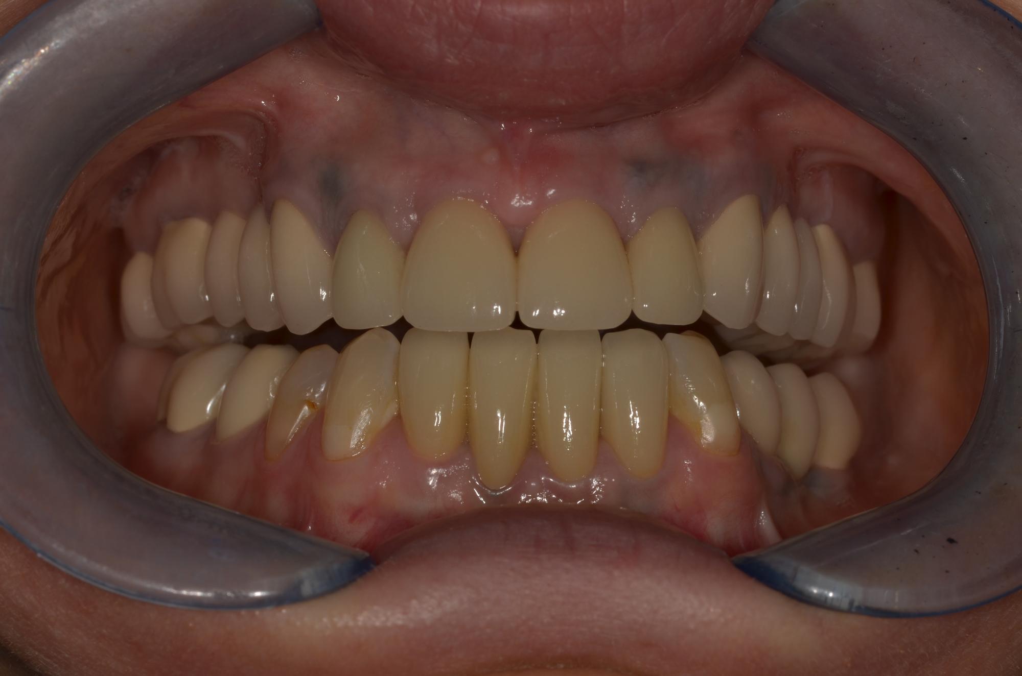
Caz 20-reabilitare arcada superioara cu lucrare fixa pe implanturi

Caz 19-restaurare zona frontala prin obturatii cu compozit

Caz 18-albire dentara in office

Caz 17-inlocuire obturatii zona frontala superioara

Caz 16-inlocuire obturatii incisivi centrali superiori

Caz 15-restaurare incisivi fracturati -accident

Caz 14-restaurari din compozit zona frontala

Caz 13-reabilitare zona frontala cu coroane si fatete din ceramica integrala

Caz 12-restaurare incisivi fracturati

Caz 11-restaurare zona frontala prin obturatii cu compozit

Caz 10-reabilitare zona frontala cu coroane din ceramica pe zirconiu

Caz 9-reabilitare zona frontala cu coroane de zirconiu

Caz 8-reabilitare zona frontala cu coroane de zirconiu

Caz 7-reabilitare cu coroane zirconiu in zona frontala

Caz 6-reabilitare bimaxilara prin restaurari cu compozit si coroane ceramica integrala

Caz 5-reabilitare zona frontala cu coroane ceramica integrala

Caz 4-reabilitare zona frontala cu fatete din ceramica integrala

Caz 3-reabilitare totala cu coroane din ceramica pe zirconiu in zona frontala si lucrari metalo-ceramice in zona laterala

Caz 2-reabilitare totala cu fatete,coroane si punti din ceramica integrala si ceramica pe zirconiu

Caz 1 - reabilitare bimaxilara cu coroane ceramica integrala la maxilar si restaurari directe si indirecte mandibular

Portofoliu

Cabinet Stomatologic Cluj Napoca

Cabinet Stomatologic Radauti

Cabinet Stomatologic Cluj Napoca
Cabinet Stomatologic Cluj Napoca
Cabinet Stomatologic Cluj Napoca

Dr. Adriana Guja oferă îngrijire dentară completă, inclusiv servicii de stomatologie generală, ortodonție și prevenție, într-un mediu prietenos și confortabil. Sănătatea zâmbetului tău este prioritatea noastră!

Cabinet Stomatologic Radauti

Pentru programări sunați la:
0722 293 622

Contact

Str. I.C. Brătianu, Nr. 17, apt. 2

Cluj Napoca, Jud. Cluj